COPD uit basisverzekering vanaf 2019

COPD uit basisverzekering vanaf 2019

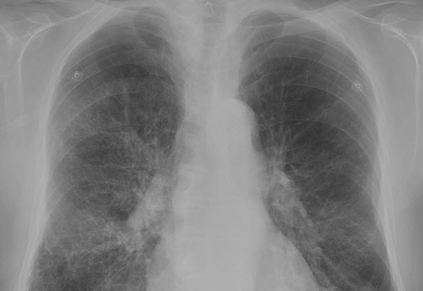
COPD uit basisverzekering vanaf 2019 De ministerraad heeft vandaag besloten dat verzekerden de eerste 20 behandelingen voor fysiotherapie bij COPD per 1 januari 2019 uit de basisverzekering vergoed krijgen. Besluit Dit besluit betekent een aanzienlijke verbetering van...
Introductie Pilates

Introductie Pilates

Pilateslessen:De pilates groepslessen gaan per dinsdag 1 april 2019 van start. Deze pilateslessen kunnen worden gevolgd ter aanvulling of aansluitend op een individueel pilates traject, de reguliere behandeling fysiotherapie of manuele therapie. Het is tevens geschikt...
Vacature Orofaciaal therapeut

Vacature Orofaciaal therapeut

Per heden zijn wij op zoek naar een collega die ons team in Leiden op het vlak van orofaciale therapie komt versterken. Ons patiëntenbestand van mensen met hoofd-hals-nek-kaakklachten is groeiend. Daarbij zijn nog een hoop uitdagingen te realiseren en daar hebben we...
Pilates

Pilates

Steeds vaker wordt duidelijk dat doelgerichte trainingstherapie van meerwaarde is voor een goed herstelproces. Zeker na behandelingen als manuele therapie, kan een goed revalidatieprogramma een grote bijdrage leveren aan een verbetering van de lokale belastbaarheid....
Zaterdag geopend!

Zaterdag geopend!

Vanaf zaterdag 16-12-2017 is de Praktijk Boisotkade ook geopend. Ilena zal van 11.00 – 14.00 aanwezig zijn in de praktijk om acute klachten te behandelen, of fysiotherapeutische hulp te bieden wanneer er hier op werkdagen geen mogelijkheid toe is geweest. Voor...